Στην κλινική μας βλέπουμε και θεραπεύουμε ένα μεγάλο αριθμό παιδιών και εφήβων με την παρουσία μυοσκελετικών όγκων. Οι μυοσκελετικοί όγκοι μπορεί να είναι καλοήθεις είτε ακόμη και κακοήθεις. Η ανίχνευση των όγκων διαπιστώνεται με ακτινολογικό έλεγχο είτε με την διενέργεια βιοψίας, εάν αυτή κρίνεται απαραίτητη.
Οι καλοήθεις μυοσκελετικοί όγκοι χωρίζονται σε δύο κατηγορίες, όπου στην πρώτη έχουμε τους καλοήθεις όγκους των οστών και στην δεύτερη τους καλοήθεις όγκους των μαλακών μορίων.
Καλοήθεις όγκοι οστών και μαλακών μορίων συχνά αφορούν:

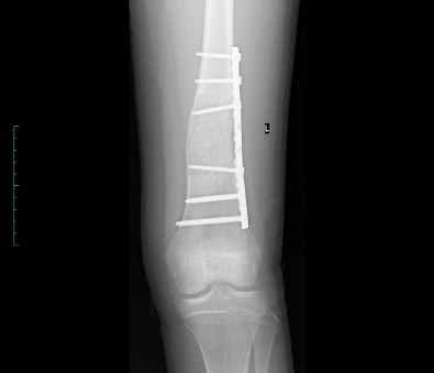
Η εικόνα απεικονίζει περιστατικό με ανευρυσματική κύστη στο μηριαίο, το
οποίο χειρουργήθηκε από τον Δρ. Ζένιο. Διενεργήθηκε καθαρισμός της κύστης, τοποθέτηση μοσχεύματος
και υλικό οστεοσύνθεσης.
Η ακτινογραφία απεικονίζει ένα οστεοειδές οστέωμα στο άνω μέρος του μηριαίου, το οποίο θεραπεύτηκε από τον Δρ. Ζένιο, με την χρήση καυτηριασμού με ραδιοσυχνότητες.

Η εικόνα απεικονίζει περιστατικό με παρουσία γάγγλιου, όπου πραγματοποιήθηκε αφαίρεση του απο τον Δρ. Ζένιο.
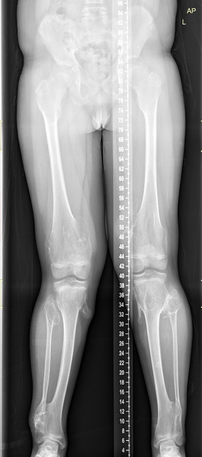
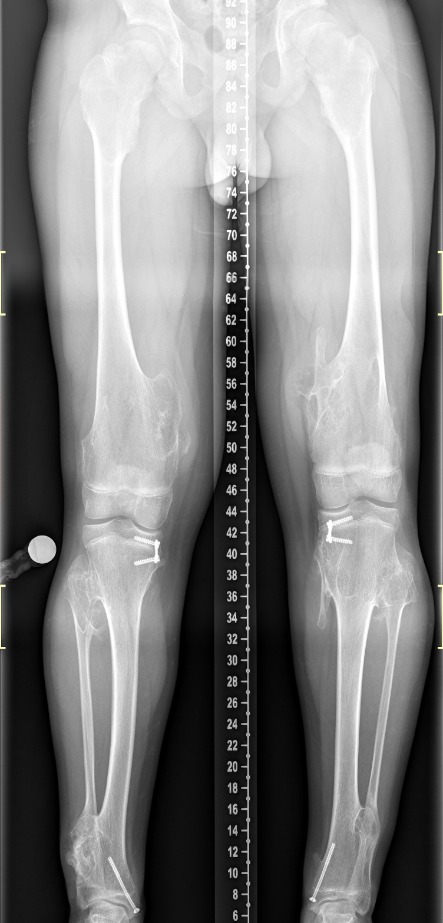
Πολλαπλά οστεοχονδρώματα
Οι εικόνες απεικονίζουν περιστατικό με πολλαπλά οστεοχονδρώματα, το οποίο χειρουργήθηκε από τον Δρ. Ζένιο.
Προ-εγχειρητικά
Μετ-εγχειρητικά
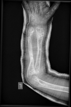
Νόσος του Όλιερ
Οι εικόνες απεικονίζουν ένα περιστατικό με την Νόσο του Όλιερ, όπου παρουσίαζε κοντύτερο αριστερό άκρο. Χειρουργήθηκε από τον Δρ. Ζένιο με την χρήση εξωτερικής οστεοσύνθεσης.
Προ-εγχειρητικά
Εξωτερική
οστεοσύνθεση
Μετ-εγχειρητικά