Ραιβοϊπποποδία








Εγκεφαλική Παράλυση
Προ-εγχειρητικό βίντεο
Πέντε χρονών κορίτσι με εγεφαλική παράλυση πριν από χειρουργική επέμβαση. Οι ακτινογραφίες έδειξαν υπεξάρθρημα ισχίου.
Μετεγχειρητικό βίντεο πιο πάνω ασθενούς σε διάστημα ενός χρόνου μετά τη χειρουργική επέμβαση. Το αριστερό ισχίο έχει ανακαταχθεί.
ΠΡΟ-ΕΓΧΕΙΡΗΤΙΚΟ ΒΙΝΤΕΟ ΑΣΘΕΝΟΥΣ ΜΕ ΕΓΚΕΦΑΛΙΚΗ ΠΑΡΑΛΥΣΗ
Το παραπάνω κορίτσι διαγνώστηκε με εγκεφαλική παράλυση. Περπατούσε στα άκρα των ποδιών και τα δύο πόδια περιστρέφονταν εσωτερικά.
Το κορίτσι που φαίνεται παρακάτω υπέστη πολυεπίπεδη χειρουργική επέμβαση για εγκεφαλική παράλυση. Εδώ παρουσιάζεται σε διάστημα ενός έτους μετά τη χειρουργική επέμβαση.
Το πάρακάτω βίντεο απεικονίζει...
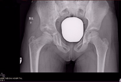
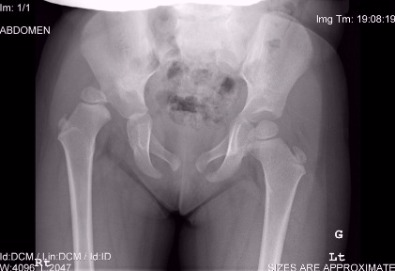
Συγγενές εξάρθρημα του ισχίου
Προεγχειρητικές ακτινογραφίες κοριτσιού ηλικίας τρεισήμιση ετών στην Κύπρο, που παρουσιάστηκε με χολώτητα λόγω συγγενούς εξάρθρωσης του δεξιού ισχίου
Οι πιο πρόσφατες μετεγχειρητικές ακτινογραφίες (4 χρόνια αργότερα) μετά από ανοικτη ανάταξη και οστεοτομίες μηριαίου και λεκάνης. Η ασθενής έχει φυσιολογικό βάδισμα
Νόσος του Perthes
Ένα αγόρι που παίζει ποδόσφαιρο μετά από οστεοτομία ραιβότητας μηριαίου για τη νόσο του Perthes
Ασθενής με περίπλοκο κάταγμα κνήμης μια εβδομάδα μετά την εφαρμογή κυκλικής οστεοσύνθεσης τύπου. Αυτή η κυκλική οστεοσύνθεση επιτρέπει τον εξωτερικό χειρισμό του κατάγματος που υποβοηθείται από ένα πρόγραμμα υπολογιστή.
Συγγενής ψευδάρθρωση δεξιάς κλείδας
Κοριτσάκι έξι ετών με συγγενή ψευδάρθρωση δεξιάς κλείδας. Εξαιρετικό λειτουργικό αποτέλεσμα μετά από χειρουργική θεραπεία.

-t2r2ew.png)