Musculoskeletal tumors

In our clinic we see and treat a large number of children with musculoskeletal tumors. The child typically presents with a lump which may or a may not cause pain. Following clinical examination the child may require further radiological investigation and sometimes a biopsy in order to exclude malignant tumors.  

Benign musculoskeletal tumors commonly seen include:

  • Osteochondroma. Presents as a hard lump which is often easily palpable. Treatment is excision if it causes symptoms. 



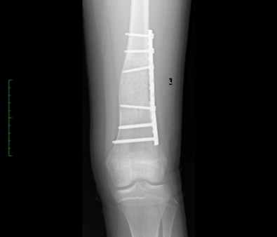
  • A simple or an aneurismal bone cyst. Typically presents with a pathological fracture (a fracture with no significant injury) or pain. The treatment varies according to the diagnosis, symptoms and location. 



Post-operative xray of a distal aneurysmal bone cyst treated with curettage, grafting and plating.   


  • Osteoid osteoma, a benign tumor that usually causes pain at night. It is usually treated with radiofrequency cauterization. 




The x-ray shows an osteoid osteoma in the upper femur, which was treated by Dr. Zenios using radiofrequency cauterization. 



  • Ganglion, a benign cyst filled with clear jelly-like fluid that arises either from an adjacent joint (usually the wrist) or a tendon sheath. It usually requires no treatment but can be removed if it causes symptoms. 


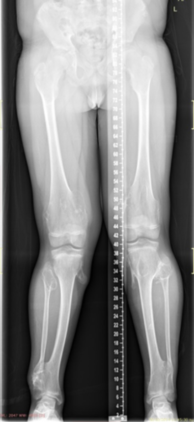
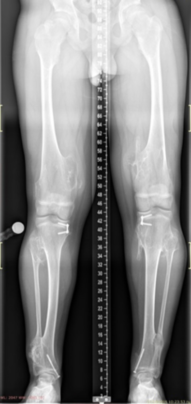
  • Syndromes presenting with multiple lumps. Multiple osteochondroma, a syndrome that is congenital, presents with multiple bone lumps and may lead to deformities and multiple surgeries.  Olier’s disease, which presents with multiple cartilaginous lesions in bones. 


Multiple osteochondroma

 The images show a case of multiple osteochondroma which was operated by

Dr. Zenios in order to restore the mechanical axis.

Pre-operative

Post-operative

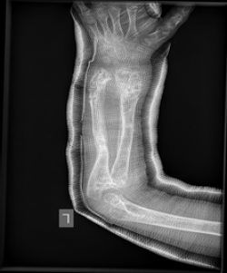
Olier’s disease

The images show a case of Olier’s disease which had a short and deformed forearm. He underwent surgical intervention by Dr. Zenios with the use of external osteosynthesis.


Pre-operative

External osteosynthesis                  

Post-operative