ΑΝΑΠΤΥΞΙΑΚΗ ΔΥΣΠΛΑΣΙΑ ΙΣΧΙΟΥ - (ΣΥΓΓΕΝΕΣ ΕΞΑΡΘΡΗΜΑ ΤΟΥ ΙΣΧΙΟΥ-DDH)


Η αναπτυξιακή δυσπλασία ισχίου είναι μια σοβαρή παθολογία κατά την οποία η κεφαλή του μηριαίου δεν βρίσκεται στη φυσιολογική της θέση στην κοτύλη της λεκάνης. Αποτελεί φάσμα παθολογίας, από μικρή δυσπλασία στην κοτύλης, έως και πλήρες εξάρθρημα της κεφαλής του μηριαίου. Το ποσοστό εμφάνισης αναπτυξιακής δυσπλασίας του ισχίου αντιστοιχεί περίπου στο ένα βρέφος ανά χίλιες γεννήσεις. 

                                                                                          

Οι προδιαθεσικοί παράγοντες κινδύνου για την αναπτυξιακή δυσπλασία ισχίου αφορούν:

  •  Οικογενειακό ιστορικό, με αναπτυξιακή δυσπλασία του ισχίου σε κάποιο μέλος της οικογένειας (κατά κύριο λόγο συγγένεια πρώτου βαθμού).
  • Ισχιακή προβολή, όταν δηλαδή το βρέφος γεννιέται με τα πόδια προς τα κάτω.
  • Εύκαμπτες παραμορφώσεις των ποδιών, οι οποίες διορθώνονται παθητικά


Στην κλινική μας πραγματοποιείται προ-συμπτωματικός έλεγχος με υπερηχογράφημα για την αναπτυξιακή δυσπλασία ισχίου

Στο κέντρο μας προσφέρεται προ-συμπτωματικός έλεγχος σε βρέφη όσον αφορά την πρόληψη για αναπτυξιακή δυσπλασία του ισχίου. Ο στόχος είναι η έγκαιρη διάγνωση και θεραπεία ούτως ώστε να προληφθεί η ανάγκη για χειρουργικές επεμβάσεις στο μέλλον.

Η εισήγησή μας είναι για πρόληψη, να γίνεται κλινικός έλεγχος με υπερηχογράφημα σε βρέφη, τα οποία διατρέχουν τους πιο πάνω παράγοντες κινδύνου σε ηλικία δύο εβδομάδων.  Σε παιδιά χωρίς παράγοντες κινδύνου, για τα οποία οι γονείς ή ο παιδίατρος θέλουν να διενεργηθεί εξέταση για συγγενές εξάρθρημα του ισχίου, ο έλεγχος γίνεται σε ηλικία μεταξύ 6-8 εβδομάδων.


ΘΕΡΑΠΕΙΑ

Σημαντικό είναι να τονίσουμε πως η  θεραπεία είναι διαφορετική  ανάλογα με την  ηλικία που πραγματοποιείται η διάγνωση του εξαρθρήματος. Όσο πιο γρήγορα γίνει η διάγνωση τόσο καλύτερη είναι και η πρόγνωση. Μέχρι και την ηλικία των έξι μηνών η αναπτυξιακή δυσπλασία του ισχίου, συνήθως αντιμετωπίζεται συντηρητικά με την εφαρμογή ειδικού νάρθηκα τύπου Pavlik.



Στο ιατρείο προσφέρουμε ένα πρόγραμμα παρακολούθησης για το συγγενές εξάρθρημα ισχίου με στόχο την αποθεραπεία της πάθησης σε βρεφική ηλικία, χωρίς την ανάγκη χειρουργικής επέμβασης. Στα βρέφη κατά την κλινική εξέταση πραγματοποιείται προληπτικά υπερηχογράφημα. Εάν εντοπιστεί παθολογία, το εξάρθρημα θεραπεύεται με τη χρήση ενός απλού νάρθηκα τύπου Pavlik.

 

Η αποτυχία της θεραπείας ή η καθυστερημένη διάγνωση και παρουσίαση του ασθενούς στον ιατρό, οδηγεί σε προβλήματα στη βάδιση και ανισοσκέλεια στην παιδική ηλικία και σε πόνο και οστεοαρθρίτιδα στην πρώιμη ενήλικη ζωή.

Στην περίπτωση που δεν πραγματοποιηθεί έγκαιρα η διάγνωση συνήθως χρειάζεται χειρουργική αντιμετώπιση. Η χειρουργική επέμβαση εξαρτάται από το βαθμό του εξαρθρήματος και την ηλικία του παιδιού. Όσο πιο έγκαιρα πραγματοποιηθεί η διάγνωση, τόσο περισσότερο διευκολύνεται η διαδικασία της επέμβασης.



Συγκεκριμένα:


  • Μετά την ηλικία των 6 μηνών διενεργείται  κλειστή ανάταξη μετά από αρθρογραφία στο χειρουργείο υπό γενική αναισθησία και τοποθέτηση γύψου. Σε ορισμένες περιπτώσεις συνδυαστικά με την κλειστή ανάταξη, διενεργείται διάνοιξη ισχίου με έσω προσπέλαση με μικρή τομή στους προσαγωγούς του ισχίου



Η εικόνα απεικονίζει την διενέργεια αρθρογραφίας από περιστατικό του Δρ. Ζένιου.  Η εξέταση αυτή βοηθάει αρκετά στον προ-εγχειρητικό σχεδιασμό πριν από την ανάταξη  ισχίου.


·       Μετά τους 12 μήνες χρήζει ανοικτής ανάταξης ισχίου με πρόσθια προσπέλαση πολλές φορές με οστεοτομία μηριαίου +/-  οστεοτομία λεκάνης και κάποιες φορές και τα δύο.  Στην κλινική μας, μετά από μελέτες των περιστατικών μας και των υψηλών ποσοστών επιτυχίας ανάταξης των ισχίων, διαφάνηκε πως ασθενείς που υποβλήθηκαν σε οστεοτομία μηριαίου είχαν περισσότερες πιθανότητες επιτυχίας σε σχέση με απλή ανάταξη ή ανάταξη σε συνδυασμό με οστεοτομία λεκάνης. 


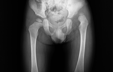
Προ-εγχειρητικά

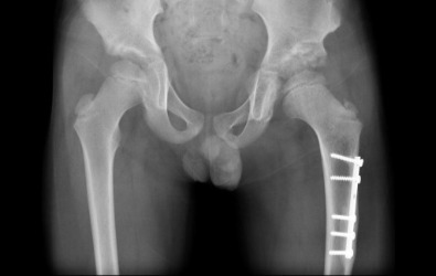
 Μετ-εγχειρητικά

Οι ακτινογραφίες απεικονίζουν περιστατικά με αναπτυξιακή δυσπλασία στα ισχία, τα οποία παρουσιάστηκαν στην κλινική μας μετά την ηλικία των τριών ετών. Πραγματοποιήθηκε χειρουργική επέμβαση από τον Δρ. Ζένιο για ανάταξη των ισχίων με οστεοτομία λεκάνης και μηριαίου.

Προ-εγχειρητικά

 Μετ-εγχειρητικά